Porcelain Veneers: Case 39: Bucks County
Description
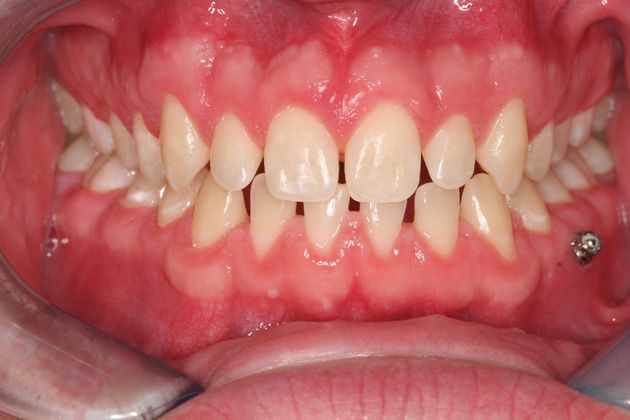
This handsome young man from Doylestown, Bucks County, PA had just completed his orthodontic care, but because of his small tooth size , he was left with large spacing between his teeth. Dr. Wilderman placed 12 porcelain veneers to close up the spaces and gave him the smile he deserved.




