
Dental Bonding
What Is Dental Bonding?
Dental bonding is a cosmetic dentistry treatment used to improve the appearance of your smile.
It uses a tooth-colored composite resin to cover dental damage or other imperfections such as chips, discoloration, tooth shape, or cracks. Following the application and shaping, your dentist will cure the resin with a UV light to secure the bonding material firmly in place. Bonding at our Philadelphia-area practice offers a fast, affordable route to a better smile.

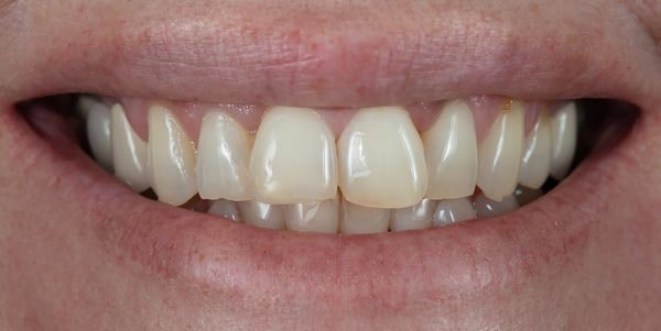
The Impressive Impact of Dental Bonding See the Change Cosmetic Dentistry Provides
For this dental bonding patient, composite resin brightened discoloration and reshaped asymmetrical teeth, creating a smile with a brilliant and consistent appearance.


Learn Why Patients and Professionals Prefer Dr. Wilderman The Go-To for Your Cosmetic Dentistry Needs, Including Dental Bonding
"Dr. Wilderman is the best!" Quality Care Comes Standard at Artistic Expressions Dentistry
The name of the dental practice is spot on. Dr. Wilderman is a perfectionist and meticulous in his work; he treats every patient as if you're part of his family. He is very kind and his dentistry is practically pain free. I have visited many dentists in my life and in my experience, Dr. Wilderman is the best.
View on GoogleThis is the best dentist I have had in my entire life. With several challenging issues with past dental work to acknowledge, repair, and replace, everything went smoothly. The office is friendly, accommodating, and spotless. Everyone listens to you — especially Dr. Wilderman. I recommend him to everyone.
View on GoogleThe Benefits of Dental Bonding
If you have cosmetic imperfections, you may find it difficult to decide between the many dental treatment options available.
Here are some of the reasons why you should choose dental bonding:
Less Invasive Treatment
Other treatments to repair the appearance of damaged teeth, like veneers in Doylestown, PA, and traditional crowns, can involve more extensive changes to your natural teeth. Dental bonding is less invasive, taking less of a toll on your smile.
More Affordable Pricing
Not only is dental bonding less invasive than other methods like veneers and traditional crowns, but it's also more affordable. That makes it a convincing option for many patients.
Durable, Long-Lasting Materials
The composite resin used in your treatment is an extremely durable bonding material. It can last anywhere from five to 10 years.
Reversible Treatment
While our goal is always for patients to love their new smiles, an advantage of bonding is that unlike many other cosmetic treatments, it is completely reversible.
Quick Procedure
While veneers and dental crowns may require multiple appointments spread out over the course of several weeks, dental bonding can have you in and out of our Philadelphia-area office in less than an hour.
What Can Bonding Address?
Dental bonding is a versatile treatment that can conceal a number of minor flaws. These include:
- Pitted teeth
- Stained teeth
- Chipped teeth
- Cracked teeth
- Gapped teeth
- Misshapen teeth
- Metal fillings

The Dangers of Tooth Damage
Cavities
Damaged enamel gives bacteria the perfect environment to thrive. Chipped, cracked, or pitted teeth can lead to cavities. It's crucial to your oral health that you address this damage as soon as possible, before it leads to greater problems.
Infections
If bacteria from a cavity, chip, or crack enter the tooth pulp, it can reach the tooth root and cause an abscess. By investing time and care into your smile now with dental bonding, you can prevent infection and the need for a root canal down the line.
Pain
Even if your chipped or cracked tooth has not lead to an infection, even minor damage can cause tooth sensitivity and discomfort. Avoid the pain damaged teeth can cause by addressing the chip or crack early on through dental bonding.
With prompt dental care, you won't just have a better smile – you'll be preventing additional problems. Visit Artistic Expressions Dentistry serving the Philadelphia, PA, area, for a bonding consultation.
Is Dental Bonding Painful?
Good news: dental bonding brings little to no discomfort. Treatment is a quick, easy process.
However, if you feel anxiety about your procedure, talk to your dentist. From answering questions to discussing your concerns, Dr. Wilderman wants to help. He understands that any dental appointment can cause worry — and he will work hard to truly earn your trust.
Whether you want to learn more about dental bonding, are considering other treatments like whitening or veneers, or just need a regular cleaning, Artistic Expressions Dentistry is happy to help you every step of the way.
Contact our Doylestown, PA, practice serving the Philadelphia area or call us at:
(215) 340-1199
How We Transform Your Teeth With Dental Bonding
We'll create your new smile with skill, experience, and an artistic eye in our state-of-the-art Doylestown office.
After a goals consultation, we will find the shade of tooth-colored resin that best suits your smile. Dr. Wilderman will then start your treatment. Here's how the process will go!
Our patients trust Dr. Wilderman to give them a virtually pain-free bonding transformation.
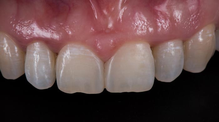
Dental Bonding in Action

"I couldn't be happier!" Hear From Our Patients in the Philadelphia, PA, Area
Everyone at Artistic Expressions Dentistry was absolutely fantastic! My smile now looks wonderful and they made the process so easy. Dr. Wilderman made sure everything was perfect and I was completely satisfied. Wonderful experience!
View on GoogleI couldn’t be happier with the outcome of the work done on my teeth by Dr. Wilderman and his team. Finally I have the professional and natural smile I’ve always wanted. Thank you all!
View on GoogleDental Bonding FAQ
While we love getting to know all our patients, we don't want you to experience any dental problems. Knowing about the causes of staining and damage can help prevent unnecessary repairs to bonded teeth in the future.
How Can I Avoid Staining My Dental Bonding?
Your bonded tooth treatment can noticeably brighten your smile. To maintain your cosmetic results, stay away from the following causes of staining and discoloration:
- Drinking red wine, tea, or coffee
- Eating highly pigmented foods, such as dark berries or soy sauce
- Not brushing twice a day or flossing regularly
- Using tobacco products, like cigarettes and dip
- Drinking sugary beverages, like soda
It is worth noting that these stain not only your bonding, but your natural tooth enamel as well. Avoiding these stain-causers can help keep your smile looking bright.
How Can I Avoid Chipping My Dental Bonding?
You want to keep your bonded tooth in the best shape possible. Take care to avoid these causes of dental chipping:
- Grinding your teeth
- Acid reflux
- Biting hard objects, like pens
- Injuries
Fortunately, these causes of chipped bonding can largely be prevented. Wear a mouth guard to protect your teeth from injury during sports, and during sleep if you have nighttime teeth grinding. Address acid reflux with medication or lifestyle changes. These steps are beneficial not just for your bonded teeth, but for your smile overall.
Don't Think of Dental Care as a Problem — Think of It as a Solution!
Many patients worry that if they go to the dentist with a damaged tooth or teeth, they'll be judged.
Let us put that belief to rest. As you grow older, you will likely experience tooth damage. It's extremely common, but thanks to dental bonding and other cosmetic dental treatments, your smile can soon be as good as new again.
We'll reframe it for you: What if you broke your leg? Would you refrain from going to the doctor out of fear of ridicule? And would your doctor think poorly of you for getting hurt?
Of course not!
The same goes for dental care. Your dentist wants to help you be your healthiest, happiest self. If you experience tooth damage and need cosmetic repairs like dental bonding or veneers, know that you're going through something many of our other visitors do too. Like them, you can trust us with your smile. Our main concern will always be helping you feel confident, happy, and free of pain. After all, we do what we do because we care about our patients — and we truly want to improve your daily lives.
Ready to choose the solution? Contact Artistic Expressions Dentistry in Doylestown, PA, serving the Philadelphia area, or call us at:
(215) 340-1199
A Whole New Smile The Dazzling Results of Dental Bonding on Gapped Teeth


"Wonderful experience!" Five-Star Reviews From Our Philadelphia-Area Patients
I can highly recommend Artistic Expressions Dentistry for anyone who wants or needs cosmetic dentistry work done. Dr. Wilderman is a perfectionist who goes out of his way to provide the best possible results. If you want a naturally beautiful smile, you cannot go wrong here.
View on GoogleEveryone at Artistic Expressions Dentistry was absolutely fantastic! My smile now looks wonderful and they made the process so easy. Dr. Wilderman made sure everything was perfect and I was completely satisfied. Wonderful experience!
View on GoogleFinancing Options
Fear isn't the only factor that dental patients face. Many also worry about paying for their dental bonding procedure.
We understand that common worry. Artistic Expressions Dentistry offers financing options, so that you never have an obstacle in between you and your oral health.


